DNA-RNA Hybrid Monoclonal Antibody [S9.6]
| 貨號 | 2112 | 售價(元) | 2800 |
| 規格 | 100ul | CAS號 |
- 產品簡介
- 相關產品
|
Product Name: |
DNA-RNA Hybrid Monoclonal Antibody [S9.6] |
|
Cat No.: |
2112 |
|
Clonality: |
Monoclonal |
|
Species Reactivity: |
All Species |
|
Tested Applications: |
ELISA, IP, IF, CHIP, Dot Blot |
|
Recommended Dilution: |
IP: 1:50-500; IF: 1: 200 |
|
Format: |
Liquid |
|
Source: |
Mouse |
|
Purification Method: |
Protein A/G Purified |
|
Isotype: |
IgG2a |
|
Conjugate: |
Unconjugated |
|
Storage: |
Store at -20℃. Do not aliquot |
|
Immunogen: |
ΦX174 bacteriophage-derived synthetic DNA/RNA |
|
Full Name: |
DNA-RNA Hybrid |
|
Background: |
The DNA-RNA hybrids are a natural occurrence within eukaryotic cells and their level are high at sites of high transcriptional activity. They are non-canonical nucleic acid structures with transcriptional regulatory functions. Their presence is reported to predispose a locus to chromosomal breakage. The S9.6 monoclonal antibody recognizes DNA-RNA hybrids (also known as R-loops) and does not bind to single or double stranded DNA. The antibody has high affinity for DNARNA hybrids but also binds RNA-RNA hybrids that are AU-rich. The specificity of the antibody appears to be determined by a combination of sequence and structural dependency since Rloop sequence affects binding affinity. |
|
Category: |
Primary Ab |

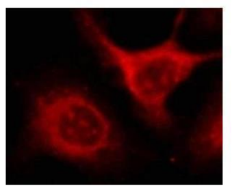
Immunofluorescent analysis of ( 4% PFA) fixed HeLa cells
using DNA-RNA hybrid Mouse Monoclonal Antibody [S9.6]
at dilution of 1:500 and Alexa Fluor 647- conjugated
AffiniPure Goat Anti-Mouse IgG(H+L)
Chromatin immunoprecipitation analysis of HeLa cells genomic DNA(gDNA) using DNA-RNA hybrid Mouse Monoclonal Antibody [S9.6] at dilution of 1:200