轉染試劑主要作用是輔助將質粒、DNA、siRNA、miRNA或蛋白質等外源物質輸送到細胞內部,目前已成為研究和控制真核細胞基因功能的常規試劑。令人擔憂的是,現在市面上的轉染試劑種類繁多,質量參差不齊,那我們應該如何選擇一款最適用于自己實驗的轉染試劑呢?
昆蟲細胞表達是一種用于產生具有簡單翻譯后修飾的蛋白質的平臺。瞬時轉染和重組桿狀病毒的產生是昆蟲細胞表達的常用方法。TransIT-Insect是一種無動物來源的轉染試劑,專門針對各種昆蟲細胞類型的高基因表達進行了優化。

轉染試劑主要作用是輔助將質粒、DNA、siRNA、miRNA或蛋白質等外源物質輸送到細胞內部,目前已成為研究和控制真核細胞基因功能的常規試劑。令人擔憂的是,現在市面上的轉染試劑種類繁多,質量參差不齊,那我們應該如何選擇一款最適用于自己實驗的轉染試劑呢?
昆蟲細胞表達是一種用于產生具有簡單翻譯后修飾的蛋白質的平臺。瞬時轉染和重組桿狀病毒的產生是昆蟲細胞表達的常用方法。TransIT®-Insect是一種無動物來源的轉染試劑,專門針對各種昆蟲細胞類型的高基因表達進行了優化。
產品性能:
★ 特殊的DNA遞送—在昆蟲細胞類型中,包括Sf9、High Five™ 和S2
圖1. 使用TransIT®-Insect高效轉染桿狀病毒基因組DNA。6孔板里進行轉染,每孔5 x 105 Sf9細胞,質粒和轉染試劑比例1:3,使用0.5ug表達GFP的ProGreen™桿狀病毒表達載體(AB Vector)和0.1 µg的pVL1393 轉移載體(AB Vector). (A)轉染后6天使用Zeiss S100熒光顯微鏡拍攝熒光和相位對比圖像。(B) Merge。
圖2. TransIT®-Insect的性能優于競爭對手的轉染試劑。昆蟲細胞系(A)Sf9,(B)High Five™, 和(C)果蠅S2細胞,在96孔板中用0.1µg由hr5增強子/IE1啟動子驅動的熒光素酶表達質粒進行轉染,使用指定試劑以指定試劑與DNA的比例(µl:µg)轉染。在轉染后48小時測量螢光素酶的表達。Sf9和High Five™在無血
★ 桿狀病毒產量高—昆蟲細胞中表達桿狀病毒的理想選擇
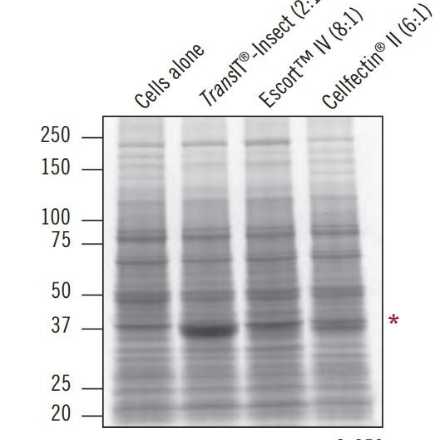
圖3. 使用TransIT®-Insect在High Five中的高效表達重組蛋白 。在6孔板中用2.5µg由hr5增強子/IE1啟動子驅動的GFP表達質粒轉染進High Five™ 細胞(Thermo Fisher Scientific) 。從轉染后72小時的細胞制備總可溶性細胞裂解物。通過SDS-PAGE和考馬斯藍染色分析來自100µl培養物的裂解物;cells alone(未轉
圖4. 使用TransIT®-Insect高效表達蛋白。昆蟲細胞系(A) Sf9,(B) High Five™和(C)果蠅S2在96孔板中轉染 0.1 ug的熒光素酶表達質粒,轉染試劑與質粒的比例為2:1。在轉染后24、48和72小時三個時間點檢測熒光素酶的表達。Sf9和High Five™細胞在無血清培養基中培養和轉染;S2細胞置于含血清的培養基中。
★血清兼容—無動物來源的非脂質體配方,
★性價比高—每次轉染所需的試劑量較低
產品信息:
Mirus 特色轉染試劑
·TransIT®-Insect Transfection Reagent 昆蟲細胞專用轉染試劑,用于制備高滴度桿狀病毒
|
貨號 |
名稱 |
規格 |
|
MIR 6104 |
TransIT®-Insect Transfection Reagent |
0.4 ml |
|
MIR 6100 |
TransIT®-Insect Transfection Reagent |
1 ml |
|
MIR 6105 |
TransIT®-Insect Transfection Reagent |
5×1ml |
|
MIR 6106 |
TransIT®-Insect Transfection Reagent |
10×1 ml |
瞬時轉染和重組桿狀病毒制備是昆蟲細胞表達常用方法,TransIT®-Insect 是一款專用于多種昆蟲細胞系的高效 DNA 轉染試劑。
部分應用文獻展示:
#1:Establishment of a Pseudovirus Platform for Neuraminidase Inhibiting Antibody Analysis.International Journal of Molecular Sciences (2023) 24:2376
Cell line:sf21
#2:MicroRNA miR-274-5p Controls Melanotic Mass Formation and Developmental Growth by Regulating the Found-in-Neurons-JNK Signaling Axis in Drosophila.Preprints (2023).
Cell Type: S2
#3:Baculovirus actin-based motility drives nuclear envelope disruption and nuclear egress.Current Biology (2018).
Cell line : High Five
#4:miR-34-5p, encoded by Spodoptera frugiperda, participates in anti-baculovirus by regulating innate immunity in the insect host.International Journal of Biological Macromolecules (2022) 222:2190
Cell Type: S9